・掲載されている薬剤の使用にあたっては、各製剤の最新の電子添文を参照ください。
・紹介した症例は臨床症例の一部を紹介したもので、全ての症例が同様な結果を示すわけではありません。
・GI-BONEによる画像解析は「核医学画像解析ソフトウェア medi+FALCON」※を使用することで実施可能です。
(※認証番号:301ADBZX00045000)
(※認証番号:301ADBZX00045000)
・画像提供:金沢大学医薬保健研究域 医学系 顎顔面口腔外科学分野 加藤 広禄 先生
GI-BONEを用いた骨SPECT定量評価が治療の評価ならびに選択に有用であったMRONJ症例
監修
加藤 広禄 先生
金沢大学医薬保健研究域 医学系 顎顔面口腔外科学分野
骨シンチグラフィーは歯科口腔外科領域において、顎骨骨髄炎の診断に用いられてきたが、近年、SPECT画像を用いた定量評価が可能となり、MRONJの診断1~3)、MRONJの消炎効果のモニタリング4~6)等において有用性が示されている7)。
また、顎骨壊死検討委員会ポジションペーパー2023、重篤副作用疾患別対応マニュアル薬剤関連顎骨壊死・顎骨骨髄炎(令和7年3月改訂)にて取り上げられるなど、その有用性が増している7,8)。
今回、「核医学画像解析ソフトウェア:GI-BONE」を用いた骨SPECT定量評価が、治療の評価ならびに選択に有用であったMRONJ症例について紹介する。
1)Dore F et al, J Nucl Med 50: 30-35, 2009.
2)Heimann I et al, Nucl Med Commun 42: 51-57, 2021.
3)Ogura I et al, Clin Radiol 75: 46-50, 2020.
4)秦 浩信,北尾友香,他:骨SPECT 定量解析ソフトウェアにより顎骨骨髄炎のモニタリングを行った1例, 口科誌 68: 38-44, 2019.
5)Hata H et al, Sci Rep 10:11385, 2020.
6)Kitajima K et al, Case Rep Oncol 14: 820-825, 2021.
7)薬剤関連顎骨壊死の病態と管理:顎骨壊死検討委員会ポジションペーパー2023
8)重篤副作用疾患別対応マニュアル 薬剤関連顎骨壊死・顎骨骨髄炎(令和7年3月改訂)
症例背景
検査目的
MRONJの精査・加療目的にて当科紹介受診
70代女性
既往歴:左乳癌、肺転移(左肺門部〜下葉)、骨転移(Th7、L5)、肝転移
ARA*治療歴
- X年7月〜X+2年12月:デノスマブ使用
病歴 (紹介元受診〜当科紹介)
- X+2年12月 :右上白歯部に排膿を認めたため、紹介元病院歯科口腔外科を受診→ 右上5,6部 MRONJの診断
- X+3年2月 :右上2,4,6,8抜歯術ならびに腐骨除去術(歯槽骨削除)が施行された。
- X+3年7月 :その後も創部からの排膿ならびに後鼻漏を認めたため、当科紹介受診
初診時 画像初見
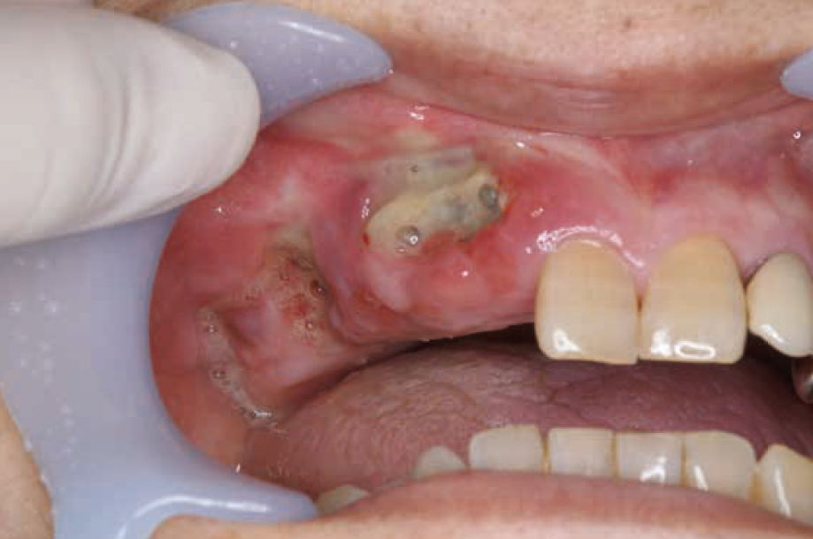
初診時:口腔内写真


右上2~右上6にかけての歯肉の発赤と腫脹を認め、自発痛ならびに圧痛を自覚していた。右上2,3部・右上5部、右上6部の3箇所に骨露出を認め、持続的な排膿を認めた。露出していた歯槽骨(腐骨)に動揺は認めなかった。
初診時:パノラマX線写真


上顎右側前歯部から臼歯部にかけての骨硬化像ならびに右側上顎洞に陰影を認めた。
初診時:単純CT画像


右側上顎洞内には陰影を認め、上顎右側前歯部から臼歯部にかけての腐骨様組織を認めた。
初診4か月前と初診時:骨SPECT/CT画像の比較


原因となった右上6部から近心に向かって、右上2にかけて骨の腐骨化が進行してきている。
顎骨の粗造部分に一致してRI薬剤の集積が抜けており、周囲の骨に集積している像が見られた。

HBO15回施行後:口腔内写真およびパノラマX線写真(右側のみ掲載)


腐骨は露出し、周囲歯肉の発赤・腫脹は軽減、腐骨周囲からの排膿量はかなり減少し、自発痛は消失した。パノラマX線写真では、骨硬化像が薄くなっているように見えるが、それほど大きな変化は認めない。
HBO15回施行後:単純CT画像&骨SPECT/CT画像


単純CT画像:腐骨分離が明瞭となり、上顎洞底には薄い骨の境界(▼)が認められる。
骨SPECT/CT画像:分離した腐骨周囲の骨に淡いRI集積を認めるのみであった。
骨SPECT/CT画像:分離した腐骨周囲の骨に淡いRI集積を認めるのみであった。
HBO15回施行前後:各所見の比較


単純CT画像は、腐骨の分離状態を確認することはできるが、骨SPECT/CT画像では、腐骨の範囲のみならず炎症波及の程度が確認できることから、HBOの治療効果をより視覚的に判定することができる。
HBO(高気圧酸素療法)前後:GI-BONE 解析結果画像


骨SPECT画像において、MRONJが発症している部位を含んだ範囲をVOIに設定することで、GI-BONE(骨SPECT定量解析ソフトウェア)がVOI内の集積に対するSUVを自動的に算出する。
HBO(高気圧酸素療法 15回施行)前後:GI-BONE 解析結果画像


GI-BONEの定量解析で評価される、5つの項目全ての値がHBO後に下がっていた。
治療前後で骨SPECT/CT画像を撮像し、GI-BONEによる定量評価を実施することで、治療の効果ならびに病態を客観的に評価することができた。
治療前後で骨SPECT/CT画像を撮像し、GI-BONEによる定量評価を実施することで、治療の効果ならびに病態を客観的に評価することができた。
HBO後、全身麻酔下に右上1抜歯術ならびに腐骨除去術を施行


腐骨は容易に摘出可能で、上顎洞との交通は認めなかった。術後、創部は完全に上皮が被覆している。
GI-BONEを用いた定量解析により、HBO前後のMRONJの状態評価を行なったことで、外科的治療の時期を見定めることができ、最小限の手術侵襲でMRONJの治癒に繋がった。
まとめ
●MRONJにおけるGI-BONEによる定量評価は、以下において有用と考えられた。
①治療法・治療時期の選択に利用できる
■保存的治療の継続なのか、外科的治療を選択すべきなのか。
■保存的治療を継続しながら定期的に集積程度を確認し、SUV指標が増加している場合は、外科的治療への移行も考慮
②経過観察のツールとして利用できる(外科的治療後の再発や新規のMRONJ病変の検出に利用)
